Hip Clinic  >  Diagnosis of pain around the hip  >  Femoroacetabular Impingement

Definition

Femoro-acetabular impingement (FAI) is defined as early contact during hip joint motion between skeletal prominences of the acetabulum and the femur resulting in symptoms [Anterior Femoroacetabular Impingement Part I. Techniques of Joint Preserving Surgery. Lavigne M , Parvizi J, Beck M, Siebenrock K A, Ganz R, Leunig M. Clin Orthop 2004; 418: 61-66.].


3d reconstruction of cam lesion in FAI 2d diagram of cam lesion




3d reconstruction of pincer lesion in FAI 2d diagram of pincer lesion


Originally described as a condition affecting the front of the hip (pain on flexion and internal rotation), the corresponding posterior impingement has now been recognised (pain on extension and external rotation).

True lateral impingement is recognised (pain moving the leg laterally) usually in deformed femoral heads and after previous surgery. Combined patterns of impingement pain may indicate an abnormally deep acetabulum, or secondary soft tissue damage due to traction at the opposite side to the impingement.

Diagnosis

Every hip joint has a finite range of movement, usually limited by contact between the femoral neck and the rim of the acetabulum. Symptomatic impingement occurs when this abutment occurs regularly and causes inflammation of damage to the tissues. In some people the shape of the hip joint predisposes to impingement during daily activities.

The range of movement before impingement is estimated from sectional images of the hip. A number of parameters have been measured, some completely different measurements have given the same Greek letter! Even reduced to two dimensions there are several parameters to consider:


Section of femoral head neck to show alpha and beta angle Global loss of acetabular range of motion

Beta angle of Wyss Acetabular version


It should be noted that many people with similarly shaped hips do not suffer with symptoms [Prevalence of Abnormal Hip Findings in Asymptomatic Participants: A Prospective, Blinded Study. Register B, Pennock A T,Ho C P, Strickland C D, Lawand A, Philippon M J. Am J Sports Med October 25, 2012] [Prevalence of increased alpha angles as a measure of cam-type femoroacetabular impingement in youth ice hockey players. Philippon MJ, Ho CP, Briggs KK, Stull J, LaPrade RF.Am J Sports Med. 2013 Jun;41(6):1357-62.].

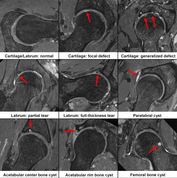
Repeated abnormal contact between the neck of the femur and the rim of the acetabulum is associated with wear in the hip. This is visible as damage to the labrum of the hip, wear of the adjacent chondral surfaces and occasional para-labral cysts (fluid "bubbles").

MRI showing wear in the hip

Again it is important to note that these "abnormalities" and this type of wear is commonly found in people with no symptoms.

Treatment

We are faced with a situation where a large proportion of normal individuals have minor structural abnormalities in their hips. Only a small proportion of these people will eventually go on to develop full blown osteoarthritis of the hip. At present there are no long term studies to show that surgery for symptomatic (or asymptomatic) FAI delays or prevents osteoarthritis.

In some the wear will cause symptoms, but we need to be sure there is not an alternative diagnosis before planning invasive treatment. Hip injection can be a very useful way to confirm the hip as the main source of pain.

Surgical correction of impingement is aimed at increasing the range of motion before abutment, and addressing any labral damage. Bone correction may require reshaping the femoral neck, the acetabular rim or full reorientation of the acetabulum (Periarticular Osteotomy).

Cam lesion of the femoral neck Cam lesion of the femoral neck, after resection

Acetabular rim osteotomy and labral reattachement Periarticular realignment osteotomy

Resection of the femoral neck bump, rim resection and labral surgery can now all be achieved using keyhole arthroscopic surgery. Previously these operations where done as open procedures, with considerable recovery times. If an arthroscopic approach is not appropriate for addressing all the aspect of the impingement, then open surgery is required. A common failure of arthroscopic surgery is to leave part of the problem untreated.

Most authors report a significant numbers (8-12%) of patients requesting total hip replacement within two years of surgery for FAI. This suggests that very strict selection criteria should be used to identify patients in whom hip preservation surgery is worthwhile. Specifically significant osteoarthritis should be excluded.

Notes Clin Orthop Relat Res. 2012 Dec;470(12):3355-60. doi: 10.1007/s11999-012-2477-2. The acetabular wall index for assessing anteroposterior femoral head coverage in symptomatic patients. Siebenrock KA, Kistler L, Schwab JM, Büchler L, Tannast M Loss of rotation due to femoral neck thickening is quantified as the a angle (internal rotation) [ Do normal radiographs exclude asphericity of the femoral head-neck junction? Dudda M, Albers C, Mamisch TC, Werlen S, and Beck M. Clin Orthop Relat R, 2009, 467 (3):651–659. ] and ß angle (external rotation) [ Three-dimensional computed tomography of the hip in the assessment of femoroacetabular impingement. Beaulé PE, Zaragoza E, Motamedi K, Copelan N, and Dorey FJ. J Orthop Res, 2005, 23(6):1286–1292. ]. Available rotation after to acetabular pincer lesions is quantified as over coverage using the lateral centre edge angle, anterior centre edge angle. The combined loss of rotation due to femoral neck thickening and acetabular rim extension/reorientation is

© Mr Gavin Holt :: CotswoldClinics.com :: Print this frame