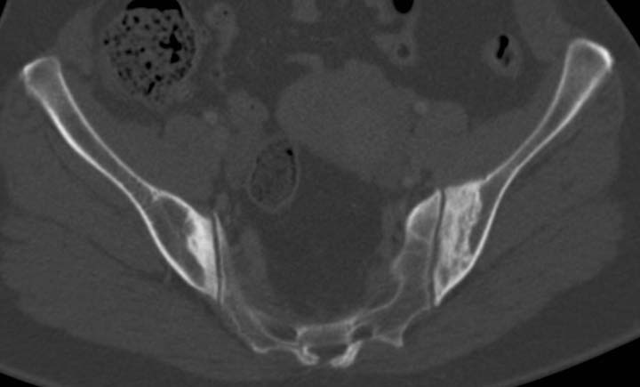
Osteitis condensans ilii is identiifed as benign sclerosis of the ilium adjacent to the sacroiliac joint. It is typically bilateral and symmetrical, and tends to be triangular in shape. This radiological abnormality is thought to be a benign reflection of bone remodelling with response to stress (increased radiologic density indicative of sclerosis) the sacroiliac joint itself is normal with no irregularity, erosions or loss of joint space.

It is most commonly seen in multiparous females; the underlying aetiology is believed to be mechanical stress across the sacroiliac joint. It is usually asymptomatic but uncommonly may cause lower back pain. The differential diagnosis is sacroiliitis, and rarely bone infection.
© Mr Gavin Holt :: CotswoldClinics.com :: Print this frame